![]() |
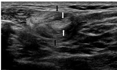
| Figure 1: Oblique US image of the left posterior cervical triangle showing a mass comprising a superficial, oval hyper-echogenic structure (black arrows) that contains multiple linear striations similar to the subcutaneous fat. This is suggestive of a lipomatous lesion. The deeper margin of the mass is inseparable from a hypo-echogenic linear structure (white arrows) containing linear striations, which is suggestive of muscle. The precise nature of the muscular component was unclear. A similar muscle was not present in the right side of neck. |