|  | 
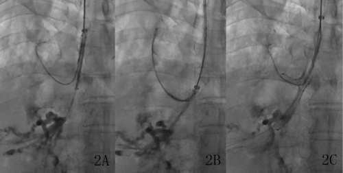
| Figure 2: A) A small Y-shaped airway stent was introduced into the right main bronchus; B) the two branches of the small Y-shaped airway stent were introduced into the right upper bronchus and the right intermediate bronchus; C) the Y-shaped stent was released completely under fluoroscopy |