|  | 
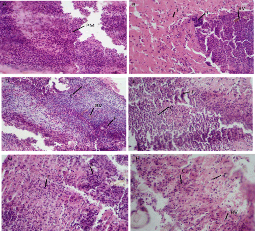
| Figure 2: Photomicroscopic view of histopathological characteristics of 9-day-old wound tissue section by Excision and Dead space model (Hematoxylin and eosin×40). a) Wound tissue treated with control b) Wound tissue treated with standard c) Wound tissue treated with ethanol extract d) Dead space model with ethanol extract (100 mg/kg) e) Dead space model with ethanol extract (200 mg/kg) f) ead space model with ethanol extract (400 mg/kg). |