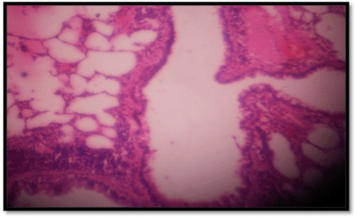
treated
Figure 3: A part of copper sulphate treated gill showing hyperplasia of Epithelial lining the secondary lamella. H/E 150X.