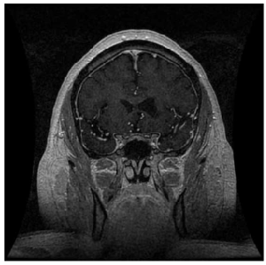
weighted
Figure 2: Post-contrast T1-weighted MRI image demonstrating leftventricular dilatation due to atrophy, suggestive of past basal ganglia stroke.