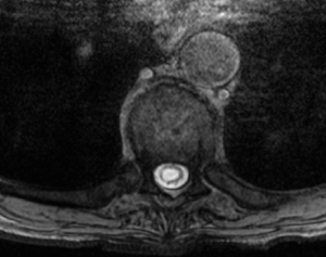
syrinx
Figure 1: T8-9 syrinx