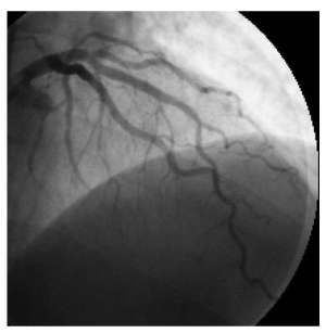
Figure 3: