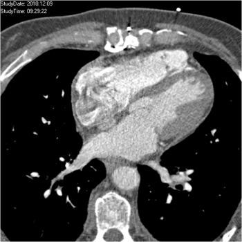
Figure 5b: Cardiac CT at follow-up; 4-chamber view.