showing
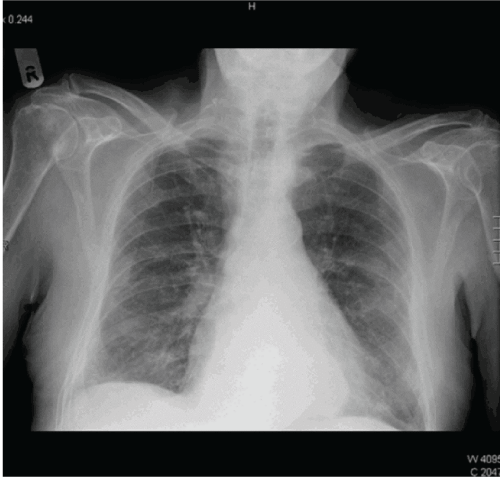
Figure 1: CXR showing right sided pleural thickening.