mass
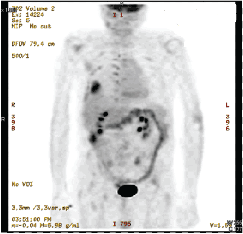
Figure 3: PET scan showing 4.2 cm right lower lobe mass with FDG avid pleural, extra pleural, pancreatic and osseous lesions.