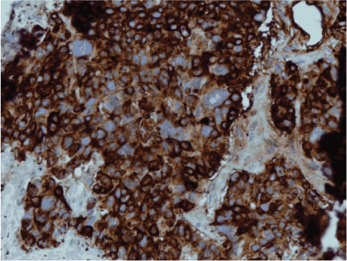
Chromogranin
Figure 8: Chromogranin positivity in solid area.