epithelial
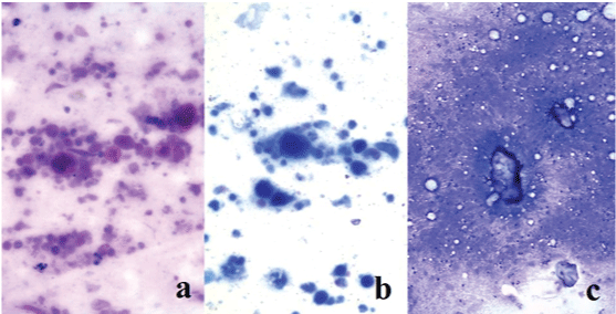
Figure 1: (a, b) Small sheets of epithelial and oncocytic degenerative cells with extensively granular background (c) few tabular/petal form with blunt ends and non-birefringent crystals on FNA smears (a: PAP ×100; b and c: MGG ×100).