![]() |
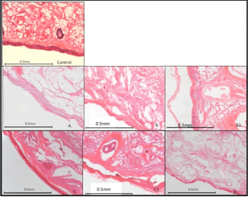
| Figure 1: H&E staining of the skin (Original magnification x10): Control-visible nuclei in all skin layers; Protocol A-no visible nuclei; Protocol B-no visible nuclei, however nonspecific haematoxylin staining in epidermis; B2 (second cycle B)-no nuclei; Protocol C-visible nuclei in all layers; Protocol C2 (second cycle C)- nuclei number reduced still visible; Protocol D-No nuclei visible 0.Srmn 0.5mm. |