parenchyma
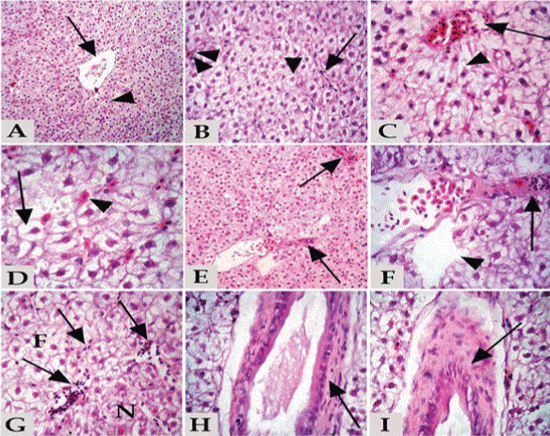
Figure 1A: Section of fantail goldfish (Carassius auratus L.) liver of group 1, 2 and 3 feed with diet A (28% CP), diet B (17% CP) and diet C (45% CP) respectively showing normal, homogenous, intact hepatic parenchyma with normal central vein (arrow) and distinct radiated hepatic cords from the central vein to the periphery (arrow head) where there is no any significant changes on the histoarchitectures of all selected organs in these three different groups. Figure 1B: Section of Carassius auratus/em> L. liver of group 1, 2 and 3 showing normal hepatic sinusoids with normal hepatocytes of irregular polygonal shaped cells with single, central, large vesicular nucleus and pale cytoplasm with slightly vacuolations (arrow head), large like kupffer cells (arrow) and melanomacrophage centres (MMCs) (double arrow heads). Figure 1C: Section of Carassius auratus L. liver of group 4 (fasted group) showing diffuse degeneration, necrosis of hepatocytes infiltrated with numerous lymphocytes and few extravasated erythrocytes, with disorganization of the hepatic cords (arrow head) with sever congestion of central vein (arrow). Figure 1D: Section of Carassius auratus L. liver of group 4 (fasted group) showing diffuse microvesicular fatty degenerations , pyknotic central nuclei and pale cytoplasm with sever vacuolaions (arrow), and some extravasated RBCs (arrow head). Figure 1E: Section of Carassius auratus L. liver of group 4 (fasted group) showing focal areas of chronic inflammation (arrows). Figure 1F: Higher magnification of fig E showing area of chronic inflammation; fibrous connective tissue proliferation infiltrated with chronic inflammatory cells (arrow) with area of necrosis (arrow head). Figure 1G: Section of Carassius auratus L. liver of group 4 (fasted group) showing hepatocytes of fatty degeneration (F) with sever aggregations of chronic inflammatory cells (arrows) and area of sever necrosis (N). Figure 1H and 1I: Section of Carassius auratus L. liver of group 4 (fasted group) showing sever thickening of the bile duct (arrow).