![]() |
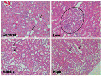
| Figure 5: Histopathology of the kidney of rat after 28 days inhalation of ethylene glycol. Note the ditailed distal tubulesin the renal cortex (arrows). Dilatation of proximal tubules was also noted in the middle and the high dose groups. Focal nephropathy was often observed, characterized by basophilic tubules with thickened basement membrane and mild inflammatory cell infiltration (circle). H & E. Mag= × 200 for control, low and middle group and × 100 for high group. The groups of five male rats were exposed to ethylene glycol (0, 4, 20, 100 mg/m3) for subacute inhalation toxicity (28 day study). Low: 4 mg/m3, middle: 20 mg/m3, high: 100 mg/m3. |