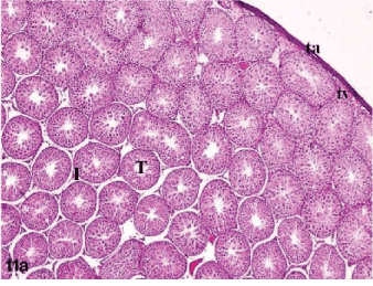
Photomicrograph
Figure 11a: a)Photomicrograph of a section in testis of control albino rat aged 7 weeks (group IIa) showing capsule of thick dense tunica albuginea (ta) and thin tunica vasculosa (tv) surrounding testicular tissue. The seminiferous tubules (T) appear closely packed with the interstitial tissue (I) in between.