heterogeneous
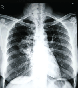
Figure 1: Chest x-ray showed ill-defined rounded heterogeneous opacity.