Patient
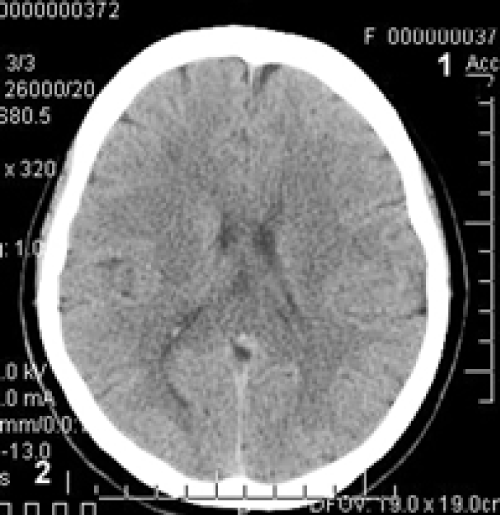
Figure 1: Patient H.: Female, 60 years old: CT of the brain. Before the Intervention: 1) moderate expansion of the subarachnoid space; 2) moderate heterogeneous post-ischemic cyst in the right middle cerebral artery region.