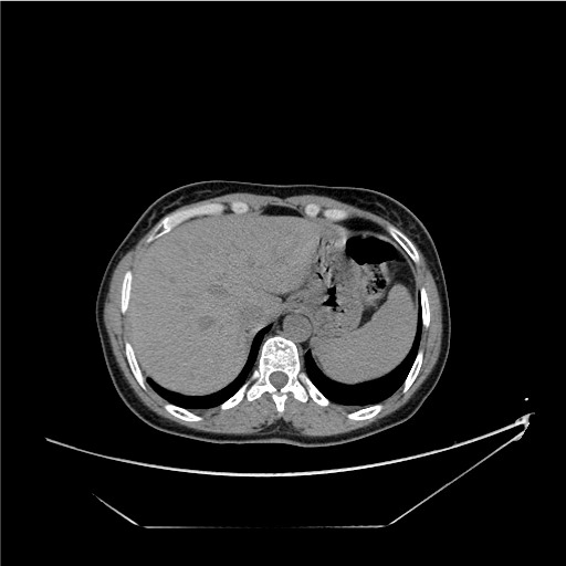
Figure 2: Abdominal computed tomography scan after 6 cycles of chemotherapy.