![]() |
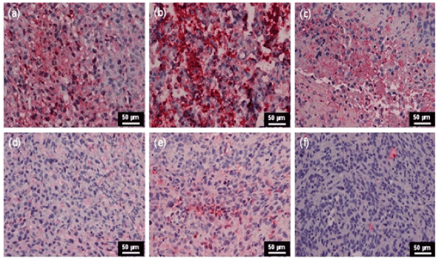
| Figure 2: VEGF expression was assessed in tumors treated with various treatment regimens using immunohistochemistry (a) Control (untreated tumor), (b) PDT, (c) bevacizumab + cetuximab, (d) PDT + bevacizumab, (e) PDT + cetuximab and (f) PDT + bevacizumab + cetuximab. All sections are shown at a magnification of × 200, scale bar = 50 μm. |