![]() |
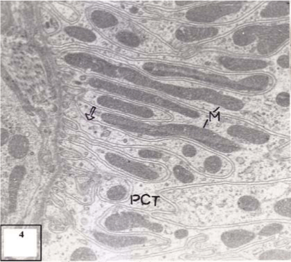
| Figure 4: Electron Micrographs of rat kidney treated with Etoposide for 8 weeks. Electron Micrographs of S1 segment of proximal convoluted tubule (PCT) shows large number of dense mitochondria (M) among the basolateral folding of the tubule (hollow arrow). Magnification taken (x 15,000). |