|  | 
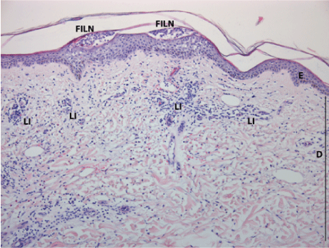
| Figure 3: Biopsy specimen of a new lesion of the right knee (hematoxylin-eosin stain). Focal vesiculationwith intraepidermal lymphocytes and neutrophils. Dermal infiltrate of lymphocytes and eosinophils, accentuated around the postcapillaryvenules, extravasated erythrocytes, and discrete endothelial swelling. (E) Epidermis; (D) Dermis;(FILN) Focal vesiculation with intraepidermal lymphocytes; (LI) Leucocyte infiltration. |