|  | 
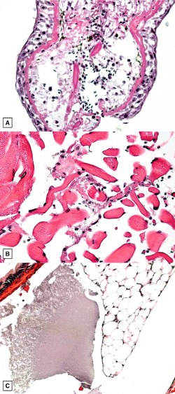
| Figure 4: Sagittal section of a lesion on the caudal peduncle of a coho salmon that was intraperitoneally infected with the Flavobacterium sp. CS36 strain showing: (A) heterophilic cellulitis (arrow), (B) myodegeneration(arrows), and (C) proteinaceous exudate within the coelom. The three H&E stained sections are shown at 400X magnification. |