|  | 
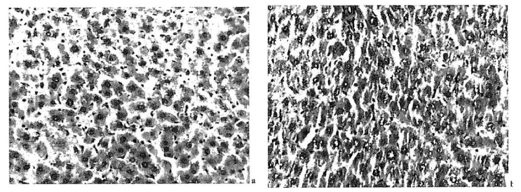
| Figure 6: Therapeutic influence of electron-transferred alkaloid injections on D-GalN traumatized livers. (a) The traumatization mimics the lesions caused by hepatitis B virus10, when lesions were inside the cells In (b) the cell architecture was regenerated after a complex procedure, which is still awaiting detailed studies. The sinusoids are opened and the blockages causing giant cell growth have disappeared. |