|  | 
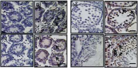
| Figure 4: Immunohistochemistry for OCT-4 in 5, 10, 20 and 35 dpp mice. Arrows indicate expression of OCT-4 in SSCs. (a = -ve control for 5dpp; b = 5dpp OCT-4 +ve; c = -ve control for 10 dpp; d = 10 dpp OCT-4 +ve; e = -ve control for 20 dpp; f = 20 dpp OCT-4 +ve; g = -ve control for 35 dpp; h = 35 dpp OCT-4 +ve) (Scale bar = 8 µm). |