|  | 
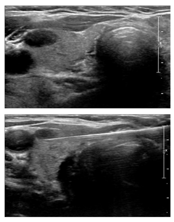
| Figure 2: A 21-year-old Caucasian woman with non-Hodgkin lymphoma. (a) US which reveals an intraparenchymal ill-defined hypoechoic nodule corresponding to a palpable mass on physical exam in the upper right lobe (20 mm). PROTOCOL: iU22 with a probe center frequency of 9-12 MHz (Philips). (b) By fine needle aspiration cytology under ultrasound guidance at the sn lobe cytology: Thyroid hyperplasia (TIR2) with a carpet of macrophages. |