image
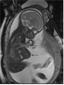
Figure 2: Fetal MRI using single shot turbo spin echo, shows the heart in an ectopic position (*) and eventration of a part of the liver at the midline (arrow). Notice the small thoracic cavity (t). No malformation of the central nervous system could be seen.
Goto home»