|  | 
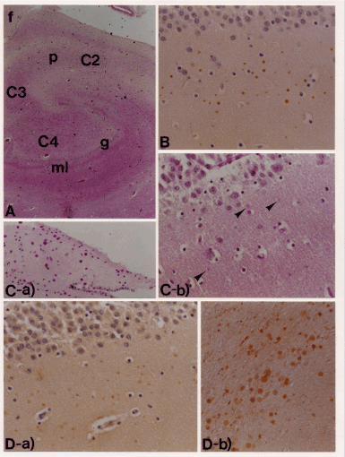
| Figure 1: | 
| A: The hippocampal formation stained by Hematoxilin Eosin. g: granular layer p: pyramydal neuron ml: molecular layer | 
| f: fimbria | 
| B: SPD detected by lectin stains. GSI-B4. | 
| C-a: Corpora amylacea are intensely stained by PAS. | 
| C-b: SPD are weakly stained by PAS. | 
| D-a: SPD show intense reactivity with anti-chondroitin sulfateD-b: Corpora amylacea show intense reactivity with anti-tau protein antibody. |