image
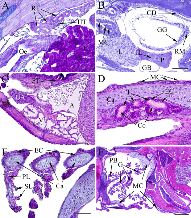
Figure 4: Microsections of ballan wrasse Labrus bergylta larvae during stages 2–4. (A) Kidney17 DAH. (B) Swim bladder at 23 DAH. (C) Heart at 29 DAH. (D) Thyroid at 29 DAH. (E) Gill arches at 29 DAH. (F) Gill opening at 49 DAH. A–atrium; BA–bulbus arteriosus; Co–colloid; Ca–cartilage; CD–collecting duct; EC–epithelial cells; F–follicles; G–gills; GB–gall bladder; GG–gas gland; HT–haematopoietic tissue; IL–islet of Langerhans; L–liver; MC–mucous cells; Oe–oesophagus; P–pancreas; PB–pseudobranch; PL–primary lamellae; PT–pharyngeal tooth; RM–rete mirabile; RT–renal tubules; SL–secondary lamellae; V–ventricle. Bars: A, D, E=50 μm; B, C=100 μm; F=200 μm. Staining: A=AB-PAS; B=TB; C–F=HE.
Goto home»