|  | 
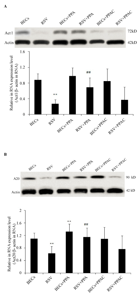
| Figure 3: A: Human Act1 expression in BECs was determined by real time PCR and Western blot. B: Human A20 expression was determined by real time PCR and Western blot. Data represent Means ± SE of 4 experiments. (**P<0.01 versus normal BECs; ##P<0.01 versus RSV). |