image
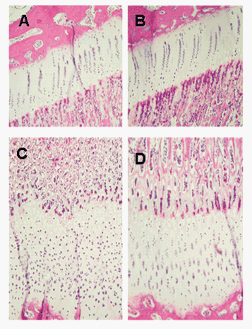
Figure 6: Comparison of growth plates from operated (left) and non-operated (right) limbs after limb lengthening in rabbits. (A) and (B) show proximal tibial growth plates stained with hematoxylin and eosin. Both limbs exhibited a distinctive columnar appearance in the proliferating and hypertrophic zones. (C) and (D) show distal tibial growth plates stained with hematoxylin and eosin. The control limb exhibits a distinctive columnar appearance in the proliferating and hypertrophic zones. The operated limb from the same animal exhibits a distorted appearance consistent with mechanical disruption.
Goto home»