image
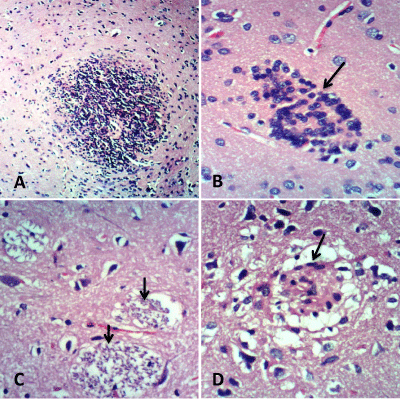
Plate 2: Effect of sea anemone crude extract on cortical neurons of a male albino rat showing focal cerebral necrosis infiltrated with glia cells [A], focal gliosis (arrow) [B], demyelination of nerve fibers (arrows) [C], and focal cerebral necrosis (arrow) [D]. [400X].
Goto home»