image
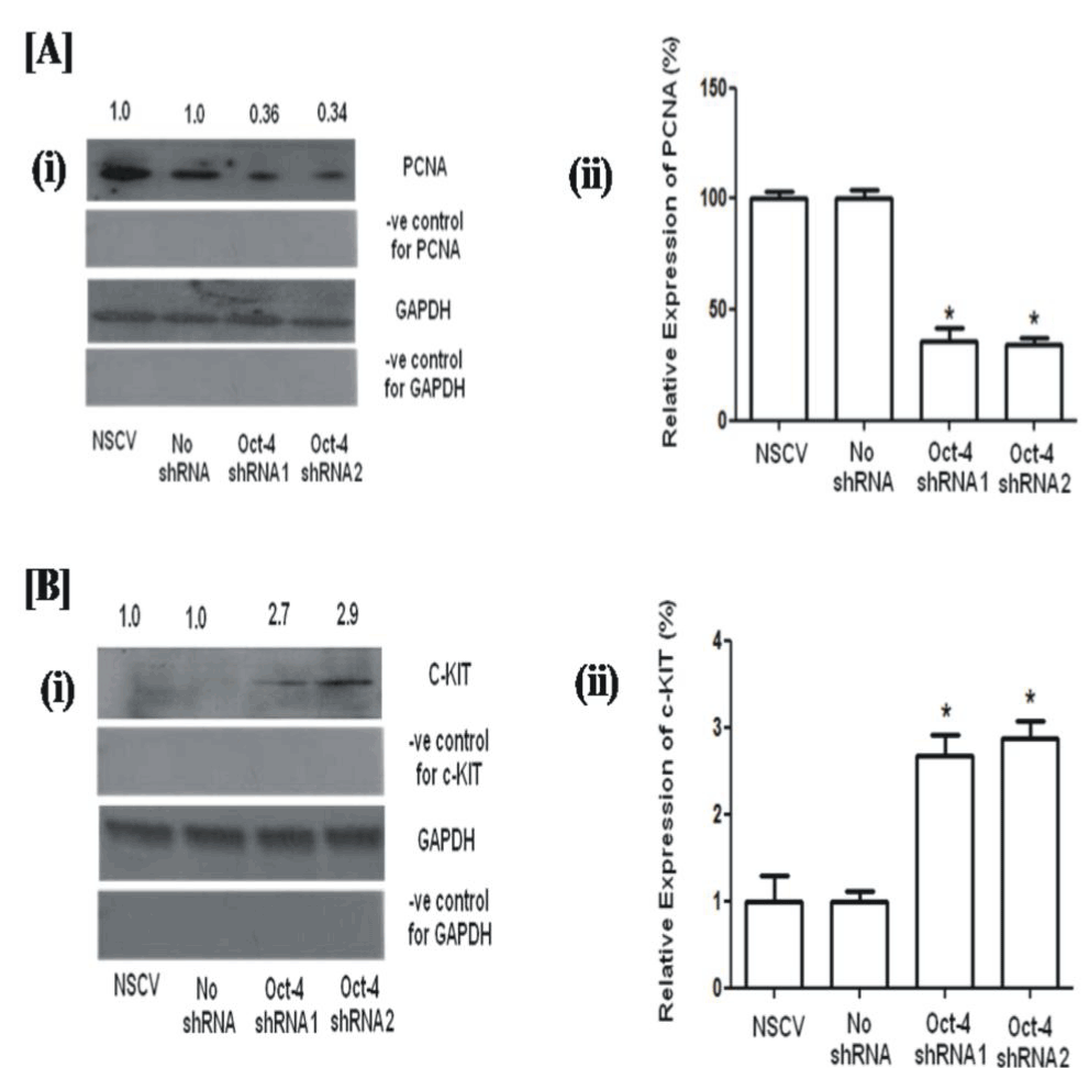
Figure 5: Effect of Oct-4 knock-down on type A spermatogonial cells in culture. [A] (i) Western blot analysis of PCNA and (ii) Densitometry analysis of PCNA normalized to GAPDH in Oct-4 shRNA treated and untreated cells. [B] (i) Western blot analysis of c-KIT and (ii) Densitometry analysis of c-KIT normalized to GAPDH in Oct-4 shRNA treated and untreated cells. The replacement of primary antibody with PBS was used as a negative control. Values are the mean ± SD. n=3 different biological replicates performed on three different occasions (*p<0.05).
Goto home»