|  | 
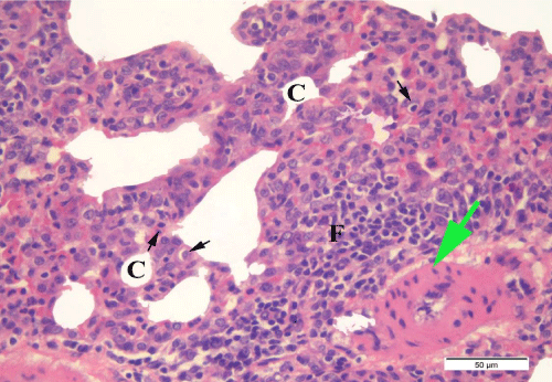
| Figure 8: A photomicrograph of a DEHP treated rat alveolar tissue showing collapsed alveoli (c). Thickened pulmonary vascular wall (green arrow), inflammatory cell infiltration (F) as well as necrotic type II pneumocytes with pyknotic nuclei (black arrow) are also shown. (H & E x400). |