|  | 
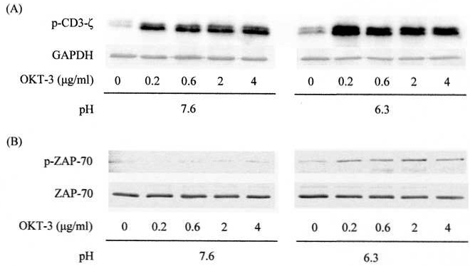
| Figure 1: Phosphorylation of CD3-ξ and ZAP-70 in Jurkat T cells stimulated by OKT-3. After Jurkat cells had been cultured in pH 7.6 or 6.3 media for 24 h, OKT-3 was added to the culture media at the indicated concentrations. After 5 min incubation with OKT-3 (0.2 μg/ml), the cells were harvested and whole cell extracts were analyzed using anti-p-CD3-ξ mAb, anti-ZAP-70 mAb, anti-p-ZAP-70 mAb, and anti-GAPDH mAb as described in Materials and Methods. (A) phosphorylation of CD3-ξ. (B) phosphorylation of ZAP-70. |