image
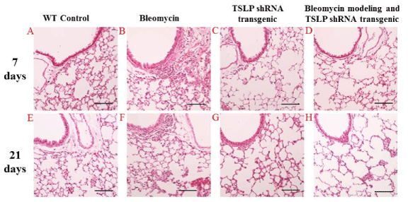
Figure 5: Hematoxylin and Eosin (H&E) staining. A, E: Wild type control mice show no significant histological changes at 7 and 21 days. B, F: Bleomycin-treated mice (i.e., pulmonary fibrosis group) sacrificed at 7 and 21 days show increased inflammatory cell infiltration. C, G:TSLP shRNA transgenic mice (i.e., shRNA control group) show no significant histological changes compared to the control at 7 and 21 days. D, H: Mice treated with bleomycin and TSLP shRNA at 7 and 21 days show a significant decrease in inflammatory cell infiltration compared with bleomycin-treating group. The calibration bar represents 100 μm.
Goto home»